Задачи
Задача. На УЗИ т/б сустав: ∠α=65° (1) и ∠β=60° (2). Другие линии начертаны не правильно, поэтому углы не корректные. Заключение: Транзиторное строение (тип 1b) т/б сустава.
Задача. На УЗИ т/б сустав: ∠α=56°, ∠β=59°; костное покрытие головки 58%. Заключение: у ребенка до 3-х месяцев — физиологическая задержка развития (тип 2а), а у ребенка старше 3-х месяцев — дисплазия (тип 2b) т/б сустава.
Задача. На УЗИ т/б сустав: ∠α=68°, ∠β=62°; костное покрытие головки <50%. Проба Барлоу смещает головку кнаружи и вверх — ∠β=90-93°. Заключение: Зрелый (тип 1b) нестабильный т/б сустав.
Задача. На УЗИ т/б сустав: справа ∠α=60-62°, ∠β=66-70°; слева ∠α=46-48°, ∠β=90-93°. Заключение: Транзиторное строение (тип 1b) строения т/б сустава справа. Тяжелая дисплазия (тип 2d) т/б сустава, предвывих слева.
Задача. На УЗИ т/б сустав: ∠α=40°, ∠β=102°; костное покрытие головки <28%. Заключение: Тяжелая дисплазия (тип 3а) т/б сустава, подвывих.
Задача. На УЗИ т/б суставы, где ∠α<43°. Заключение: Тяжелая дисплазия (тип 3а) т/б сустава, подвывих.
Задача. Дисплазии т/б сустава типа 4 сопутствует вывих: головка смещена кнаружи и вверх, покрытие костной крыши минимальное (1); при тесте Барлоу определяется симптом пустой вертлужной впадины (2), хрящевая крыша завернута внутрь вертлужной впадины и препятствует вправлению вывиха (3).
Задача. Тяжелая дисплазия (тип 4) т/б суставов, вывих с обеих сторон. Чтобы определить направление смещения головки бедренной кости, оцените задний и передний край вертлужной впадины.
Задача. Ребенок в возрасте 6 месяцев, неоднократно осмотрен ортопедами, избыточная ротация левого т/б сустава. На УЗИ т/б суставы: слева ∠α=48°, ∠β=79°; справа ∠α=50°, ∠β=60°. Заключение: Тяжелая дисплазия (тип 2d) т/б сустава, предвывих слева. Дисплазия (тип 2b) т/б сустава, предвывих справа. На рентгене слева головка лежит вне сустава — вывих.
Задача. Новорожденный с положительной пробой Барлоу-Ортолани с обеих сторон. На УЗИ т/б суставы: справа ∠α=52°, ∠β=100°; слева ∠α=49°, ∠β=95°; костное покрытие головки <9% с обеих сторон. Заключение: Тяжелая дисплазия т/б суставов (тип 2d), вывих с обеих сторон.
Берегите себя, Ваш Диагностер!
4 эффективных метода для диагностики коксартроза
Диагностировать коксартроз по субъективным ощущениям пациента невозможно. Опытные ортопеды назначают один из методов:
- Рентгенография. Снимок покажет величину суставной щели, состояние головки бедра, наличие или отсутствие остеофитов.
- УЗИ. Ультразвук уточняет стадию болезни, локализацию поражения, состояние вертлужной впадины, количество остеофитов.
- КТ. Дает те же результаты, что и рентген, но снимки получаются более подробными и объемными.
- МРТ. Послойно сканирует суставы, фиксирует малейшие изменения в структуре хряща и костей. Метод считается наиболее эффективным.
В зависимости от локализации прогноз на развитие коксартроза разный:
- Если поражена центральная часть сустава, заболевание, скорее всего, будет протекать спокойно, с болью средней выраженности. Консервативная терапия в таком состоянии дает продолжительный результат.
- Также хорошие прогнозы при локализации в нижнем полюсе тазабодренного сустава. Эта форма заболевания не очень агрессивна – недуг может медленно прогрессировать долгие годы.
- Коксартроз с поражением верхнего полюса – самый сложный, поскольку сопровождается омертвлением верхней части головки кости. Эта форма встречается в основном при врожденных аномалиях суставов. Прогнозы неблагоприятные: в большинстве случаев необходима операция.
В лечении коксартроза главное – вовремя и правильно поставить диагноз
Классификация
Патологии тазобедренных суставов классифицируют по степени недоразвития.
Дисплазии тазобедренных суставов делится на такие типы:
- Ацетабулярная — поражается вертлужная впадина, в итоге ухудшается подвижность ноги, наблюдаются боли и хруст в бедре.
- Бедренной кости — нарушается сочленение шейки и головки бедра к кости, больному сложно двигать ногой, поворачивать ею, происходят изменения в походке.
- Ротационная — нарушается анатомия суставной и костной тканей в горизонтальной плоскости. При несовпадении осей конечность поворачивается внутрь.
Заболевание протекает в несколько стадий, среди которых:
- І — незрелость суставных тканей, которой часто подвержены новорожденные весом до 3 кг. Причиной нарушения является недоразвитость плаценты, генетическая предрасположенность, негативные внешние факторы при беременности.
- ІІ — предвывих, при котором бедренная кость сильно подвижна, находится во впадине, но может при интенсивном воздействии выскользнуть из нее.
- ІІІ — подвывих. Происходит смещение головки, но без выпадения из вертлужного углубления. Кость сильно подвижна, при движении наблюдается характерный щелчок.
- ІV — вывих. Головка бедра выходит из впадины, что требует обязательного вправления.
Дополнительные и альтернативные способы исследования состояния суставов
В основном, рентгенография тазобедренного сустава у детей даёт достаточно информации, чтобы определить наличие дисплазии и степень её развития. Однако, если процедура оказалась не настолько результативной, как это необходимо для постановки точного диагноза, врач назначает проведение компьютерной томографии сустава. Эта методика также связана с использованием рентгеновского облучения, но доза лучевой нагрузки на организм от неё значительно меньше, чем от рентгенографии. КТ даёт возможность исследовать глубинные структуры суставного аппарата, а также состояние суставных поверхностей. Все костные структуры выглядят более контрастными и насыщенными, чем на снимке рентгенографии, однако сложность состоит в том, что границу нормального хряща можно спутать с расширением суставной щели.
Лучшие материалы месяца
- Коронавирусы: SARS-CoV-2 (COVID-19)
- Антибиотики для профилактики и лечения COVID-19: на сколько эффективны
- Самые распространенные «офисные» болезни
- Убивает ли водка коронавирус
- Как остаться живым на наших дорогах?
Если даже результаты КТ не позволяют врачу объективно оценить состояние сустава и степень поражения, может назначаться артрография – рентген сустава с контрастным веществом. На снимках артрографии визуализируются все части аппарата сустава, в том числе, суставные поверхности и их структура, а также суставная щель.
Самым щадящим способом диагностики состояния сустава по-прежнему считается ультразвуковое исследование – безвредный и безболезненный метод, применяющий свойства ультразвуковых волн для отображения картинки состояния внутренних органов, мышц, тканей, суставов. В течение первого месяца жизни детям рекомендуется провести УЗИ тазобедренных суставов в качестве профилактической диагностики. Однако по информативности УЗИ в определённой мере уступает рентгену.
Нормальная анатомия тазобедренных суставов подразумевает, что головки бедренных костей соотносятся по размеру с диаметром суставной впадины, имеют хорошую подвижность, при этом достаточно зафиксированы в вертлужной впадине с помощью связок, лимбуса и капсулы, а при движении конечности в суставе отсутствуют любые посторонние звуки, например, щелчки, хруст.
Врождённые отклонения в развитии сустава провоцируются множеством факторов, хотя научного обоснования объективных причин появления дисплазии на сегодняшний день нет.
Дисплазия представляет собой несоответствие размера и нарушение конгруэнтности суставных поверхностей, вывих или подвывих бедренной кости, при котором её головка неправильно входит в вертлужную впадину. Патология не просто нарушает подвижность сустава – если не выявить её в младенчестве, прогрессируя во взрослом возрасте, она способствует ускорению изнашиваемости сустава, и может стать причиной инвалидности.
Чтобы не допустить такого развития событий, нужно внимательно следить за наличием у ребёнка признаков, свидетельствующих о нарушении работы сустава. Обычно новорождённым назначается УЗИ, однако в сложных случаях врачи говорят о необходимости сделать ребёнку рентген тазобедренного сустава. Способ обследования даёт возможность диагностировать дисплазию с вероятностью до 75%. На основании имеющихся снимков, доктор определяет уровень развития дисплазии суставного аппарата, а также разрабатывает тактику лечения.
Больше свежей и актуальной информации о здоровье на нашем канале в Telegram. Подписывайтесь: https://t.me/foodandhealthru
Автор статьи:
Тедеева Мадина Елкановна
Специальность: терапевт, врач-рентгенолог, диетолог.
Общий стаж: 20 лет.
Место работы: ООО “СЛ Медикал Груп” г. Майкоп.
Образование: 1990-1996, Северо-Осетинская государственная медицинская академия.
Другие статьи автора
Будем признательны, если воспользуетесь кнопочками:
ЧТО ЯВЛЯЕТСЯ ПРИЧИНОЙ РАЗВИТИЯ ДИСПЛАЗИИ ТАЗОБЕДРЕННОГО СУСТАВА У СОБАК?
Дисплазия ТБС является наследуемой патологией, но на ее развитие в большой мере можно повлиять факторами извне: неправильное несбалансированное кормление (читать статью про кормление), перекорм щенка, когда лишняя масса тела значительно увеличивает нагрузку на суставы, а быстрый рост костей не позволяет им в достаточной мере укрепляться. Также риск развития дисплазии увеличивается, если в раннем щенячем возрасте начать давать большие и резкие стрессовые физические нагрузки щенку: аджилити, фрисби, апорты, прыжки с высоты, что приводит к микротравмированию суставов и нарушению их развития.
Так как мы не можем дифференцировать, из-за чего развилась дисплазия, все дисплазии относят к наследственным, и животные должны быть исключены из воспроизведения.
КАК МОЖНО ЗАПОДОЗРИТЬ, ЧТО У СОБАКИ РАЗВИВАЕТСЯ ДИСПЛАЗИЯ?
Дисплазия ТБС – это наиболее частая ортопедическая патология у собак. Обычно поражаются быстрорастущие собаки крупных и гигантских пород, но встречается она и у средних и мелких собак и даже кошек. Наиболее часто дисплазия ТБС проявляется в промежутке с шести до двенадцати месяцев различной степенью хромоты, отказа от длительных прогулок, трудностями при вставании, особенно после активных нагрузок.
ЧТО ПРОИСХОДИТ В ДИСПЛАЗИЧНОМ СУСТАВЕ?
Вначале боль появляется из-за перегрузки отдельных участков сустава с образованием микротрещин в суставном хряще и кости, идет эрозирование хряща, истирание суставных поверхностей, что ведет к полному воспалению всего сустава (остеоартрит).
Лечение дисплазии тазобедренных суставов
Успешность лечения дисплазии и сроки выздоровления напрямую зависят от времени установления диагноза. Методы устранения зависят от степени развития патологии.
- Специальные ортопедические конструкции: стремена, шины, штанишки, подушки – для удержания ножек в правильном положении;
- физиотерапевтические процедуры;
- массаж;
- лечебная физкультура;
- широкое пеленание;
- гипсовые повязки,
- оперативное лечение.
Профилактика
- Регулярно консультироваться у ортопеда и невропатолога,
- применять широкое пеленание,
- следить за тонусом мышц,
- заниматься развивающей гимнастикой,
- проводить профилактический массаж,
- использовать для переноски детей специальные устройства, позволяющие ребенку держать ножки широко расставленными.
Поделитесь статьёй в соцсетях:
Чем опасна дисплазия тазобедренных суставов?
Дисплазия – это патология. Ошибочно думать, что она не несет тяжелых последствий. При заболевании неправильно формируется весь тазобедренный сустав, а он — один из самых больших и важных во всем теле. Он обеспечивает вертикальное положение и нормальную походку.
При дисплазии головка бедренной кости расположена неправильно по отношению к вертлужной впадине. В результате этого нарушается походка:
- может стать «утиной»;
- наблюдается чрезмерное «виляние бедрами», ягодичные мышцы находятся «выше»;
- при неравной длине конечностей развивается хромота.
Хрящевая ткань формируется постепенно, при дисплазии этот процесс нарушен. Тазовая кость тоже терпит изменения. В результате сустав теряет часть своих функций, что может привести к инвалидности.
Патология оказывает влияние на весь опорно-двигательный аппарат. Увеличивается нагрузка на него, человек постоянно устает, развивается мышечная слабость.
В девяти из десяти клинических случаев у больных, не получивших необходимое лечение своевременно, развивается ряд осложнений:
- коксартроз;
- нарушение двигательной функции ноги;
- косметические деформации;
- неоартроз (образование нового патологического сустава).
Особо опасным является коксартроз – это артроз тазобедренного сустава. Заболевание разрушает хрящевую ткань и примыкающие кости. В результате коксартроза пациент не может нормально ходить, испытывает постоянные боли.
Как предотвратить дисплазию тазобедренного сустава?
Ранняя диагностика направлена на выявление врожденных патологий. Обследование ортопедом в роддоме; Всем девочкам, находившимся в тазовом или ягодичном предлежании, в 6 недель после рождения рекомендовано сделать УЗИ; Также УЗИ выполняют детям, у которых есть другие располагающие факторы (щелчки в суставе, дисплазия у родственников, вес при рождении свыше 4 кг, врожденная кривошея и деформации стоп, возраст матери старше 35 лет); Рентгеновский снимок выполняется при необходимости контроля в возрасте 4-х месяцев и старше. Свободное пеленание. Избегайте тугого пеленания, при котором ноги ребенка выпрямлены и прижаты друг к другу. Необходимо, чтобы после пеленания ноги младенца оставались в том положении, что и после рождения – согнуты в бедрах и коленях, и разведены в стороны. Ношение ребенка в слинге на боку или в позе «наездника» на спине матери. Такие положения, когда его ноги охватывают талию матери, являются наиболее физиологичными. Именно по этой причине у жителей Африки самый низкий процент детей с дисплазией. При разведении ног ребенка сокращается капсула тазобедренного сустава, что обеспечивает его надежную фиксацию в дальнейшем. Подгузники на 1-2 размера больше. Подгузники не дают ребенку возможности свести ноги, и действуют как «отводящие штанишки», которые в прошлом использовались ортопедами для правильного формирования тазобедренных суставов
Особенно важно придерживаться этого правила в первые недели после родов, пока гормоны матери не покинули организм ребенка и связки, поддерживающие сустав, не окрепли. Массаж и гимнастика курсами по 10-15 массажей с интервалом в 1 месяц + общий массаж ежедневно
Массаж и гимнастика укрепляют мышцы, которые ограничивают движения в суставе и обеспечивают его стабильность.
Лечение дисплазии у детей
В большинстве случаев диагноз дисплазия тазобедренного сустава ставят в первый год жизни. До 3-4 месяцев это естественное состояние, оно проходит самостоятельно в 80% случаев. Но всегда остается 20% патологии, поэтому малыша наблюдает ортопед. Обязателен осмотр в 3 месяца, 6 месяцев, в год. При наличии патологии нужно показываться врачу чаще. Своевременные меры дают позитивный результат лечения практически сразу.
Как лечить дисплазию у детей:
грудничкам показаны массажи, гимнастика, физиотерапия и ношение стремян. Как правило, этой терапии достаточно. Основную роль играет время: чем раньше надеть стремена и делать процедуры, тем благоприятнее исход. Ортопеды стараются сделать это уже в 4-6 месяцев, пока ребёнок не начал сидеть и ходить
Важно не ставить малыша на ноги в этот период. Своими силами родители могут обеспечить широкое пеленание;
если в первый год ситуация не улучшилась, малыша постоянно наблюдают
Несколько месяцев еще можно продолжать консервативное лечение. Но это значительно задерживает развитие, ведь ребенок уже должен ходить. Позитивный результат дает операция по вправлению вывиха или остеотомия;
лечить дисплазию тазобедренных суставов у подростков тяжело. Консервативные методы уже не спасают. Единственный выход – операция. В случае развитого коксартроза параллельно устраняют и его.
Если ребенок страдал дисплазией в раннем возрасте, продолжайте показывать его ортопеду каждый год. Это даст возможность вовремя заметить нарушения.
Расшифровка полученных результатов
Ребенок рождается с еще не окончательно сформированным тазобедренным суставом. В нем много хрящевых тканей, которые будут окостеневать по мере взросления малыша. Пока этого не произошло, почти все нарушения хорошо поддаются коррекции. Определенные оценочные критерии функциональной активности сочленения позволяют установить его правильное и неправильное состояние. УЗИ тазобедренных суставов у грудничков определяет норму и нарушения по углам, образованным краями вертлужных впадин и воображаемыми линиями, проведенными по нижним точкам подвздошных костей. При рождении параметры нормы ацетабулярного угла — от 25° до 29°. По мере роста к 12 месяцам эти значения снижаются и составляют: у мальчиков — 18°, у девочек — 20°.

Допускается незначительное отклонение параметров углов примерно на 1-2°. Это может указывать, как на индивидуальные особенности строения таза, так и на развивающуюся дисплазию. В таких случаях терапия не проводится, а ребенок находится под контролем врачей. Ему назначается сонография примерно в 5 и 10 месяцев, считающихся возрастными точками. Степень дисплазии определяется по параметрам альфа- и бета-углов:
- альфа — углы, образуемые при скрещивании линий, проведенных от срединной стенки подвздошных костей, и линий, проводимых от нижних частей подвздошных костей к верхним краям вертлужных впадин;
- бета — угол, образованный верхними краями вертлужных впадин и центрами хрящевых пластинок.
Полученные после измерения углов параметры и становятся оценочным критерием нормального или патологического строения сочленения. Ниже представлена расшифровка значений углов, полученных при проведении УЗИ тазобедренного сустава у грудничка:
- нормальные параметры — угол альфа больше 60°, угол бета больше 55°,
- состояние предвывиха — значения угла альфа — 43-49°, угла бета — 70-77°;
- подвывих — угол альфа — меньше 43°, угол бета — больше 70°;
- вывих — угол альфа — меньше 43°, угол бета — больше 70°, при этом костная поверхность сильно вогнута, а хрящевой выступ деформирован.

| Форма патологического состояния | Полученные результаты сонографии |
| Норма (правильно образованный сустав) | Расширение и укорочение хрящевой пластинки |
| Слишком медленное образование сочленения (предвывих) | Замеленное окостенение, при котором необходим постоянный мониторинг состояния |
| Подвывих | Смещенная головка бедренной кости, сохранность хрящевой структуры в неизменном состоянии |
| Вывих (дисплазия) | Недоразвитие тазобедренного сустава, не прикрытие головки бедренной кости хрящевым выступом |
При ультрасонографическом диагностировании предвывиха лечение не проводится, так как полученные значения могут указывать на незрелость ТБС. По мере роста сустав правильно формируется и активно функционирует. Если обнаружен подвывих или вывих, врачи сразу же приступают к терапии новорожденного. Полученные при проведении УЗИ тазобедренных суставов у новорожденных значения нормы не отменяют ежемесячного осмотра малыша педиатром, а иногда и ортопедом. Специалисты постоянно контролируют состояние опорно-двигательного аппарата ребенка, назначают диагностические мероприятия при подозрении на малейшее отклонение от нормы.
Профилактика
Для того, чтобы суставы малыша развивались нормально, врачи рекомендуют делать широкое пеленание или вовсе не пеленать ребенка.
Ни в коем случае не следует делать так называемое тугое пеленание, когда ножки малыша выпрямляются и туго стягиваются пеленкой. Врожденный вывих бедра редко встречается в странах, где не принято тугое пеленание детей (Африка, Корея, Вьетнам). Для правильного развития суставов необходим адекватный объем движений в них, а в покое — так называемое физиологическое (или естественное, предусмотренное природой) их положение, когда ножки ребенка согнуты в коленях и разведены.
По материалам журнала «9 месяцев» №2 2002 год
Виды дисплазий
Самих же дисплазий выделяют несколько видов:Зрелый сустав входит в категорию 1а и 1б и лечения не требует.
| Вид | Тип | Описание |
| Незрелый сустав | 2а | Предвывих бедра наблюдается при незрелости суставов. До 3 месяцев это норма у большинства детей. Серьезные нарушения отсутствуют, но уж нужно наблюдение. Типы 2б и 2в подлежат коррекции. |
| 2б | ||
| 2в | ||
| Подвывих | 3а | При подвывихе тазобедренного сустава рентген показывает смещение головки к верху и в сторону. Она все еще контактирует со впадиной, но лечение необходимо. |
| 3б | ||
| Вывих | 4 | Головка бедренной кости находится вне впадины. Необходима операция |
Зрелый сустав входит в категорию 1а и 1б и лечения не требует.
При дисплазии тазобедренных суставов тип 2а, лечение не проводят до 3 месячного возраста, так как это считается нормой.
Лечение дисплазии тазобедренного сустава
Лечение при выявлении дисплазии следует начинать незамедлительно. Пока скелетная система не сформировалась окончательно, терапия эффективна и не будет длительной.
Сразу после рождения специалист назначает широкое пеленание ножек, колен. Пеленку складывают таким образом, что свободные ее концы образуют большой треугольник, а из внутренних углов формируется сложенный в несколько раз прямоугольник. Ребенка кладут на пеленальный стол, чтобы верхняя часть треугольника находилась по центру спинки, а концы – под коленями малыша. Плотный прямоугольник находится между ножками.
При этом колени согнуты, бедра отведены в стороны. Прямоугольник подворачивается, и бедра заворачиваются свободными концами пеленки. Как лечить дисплазию тазобедренного сустава у ребенка с помощью свободного пеленания должен показать на консультации специалист и необходимо точно следовать указаниям.
Врач также должен рекомендовать специальные упражнения. Как можно чаще необходимо выкладывать малыша на спинку и разводить ножки, которые согнуты. Полезны водные упражнения после рождения во время купания, плаванье на животе, позволяющие хорошо отводить ножки в стороны.
При тяжелой форме дисплазии, если пеленание не дает ожидаемого результата ортопед может назначить ношение:
- Стремян Павлика – одного из самых эффективных ортопедических устройств. Оно состоит из системы ремней, выполненных из мягких, прочных, гипоаллергенных тканей. С их помощью сустав фиксируется в нужном положении до тех пор, пока суставной аппарат не окрепнет. Стремя обеспечивает подвижность сочленения бедра, что предупреждает некроз эпифиза бедренной кости. Врач назначает ношение стремян ребенку с 3 недель до 9 месяцев.
- Шины Фрейка – пособие выглядит как подушка или перинка с помощью, которой ножки малыша фиксируются в положении разведения, согнутыми. Подушка прокладывается между ножками и крепится с помощью плечевых лямок или широкого пояса. С ростом ребенка конструкция меняется на больший размер. Самый маленький размер шины рассчитан на ребенка в возрасте 1 месяца, а самый большой на девятимесячного.
Когда ребенок начинает ходить, ему устанавливают специальные приспособления-расширители, не мешающие движениям и удерживающие бедра в правильном положении.
Ортопед перед началом лечения обязан предупредить родителей, что процесс выздоровления длительный, требует терпения, упорства и четкого соблюдения рекомендаций. В процессе лечения врач проводит скрининговые исследования. С помощью УЗИ он контролирует процесс созревания тазобедренного сустава, нормальное положение его частей и, при необходимости, вносит коррекции для терапии вывиха.
Для ускорения лечения заболевания методики дополняют физиотерапией:
- массажем;
- бальнеологическими процедурами;
- ЛФК;
- витаминотерапией.
Только ортопед принимает решение, как лечить дисплазию тазобедренного сустава у ребенка. Следует помнить, что заболевание приводит к тяжелым осложнениям, воспалению и деформации сустава (коксартроз, артроз), укорочению конечности, неправильной походке, инвалидности.
В особо сложных случаях и если время упущено назначают оперативное лечение:
- вправление бедра;
- транспозиция ветлужной впадины;
- остеотомия таза с корригирующей остеотомией бедра.
Современные методы лечения предусматривают на ряду с традиционными и медикаментозную терапию. Для улучшения микроциркуляции в тканях сустава назначают детям старше 1 года препараты – Компламин, Теоникол, Курантил, Трентал.
Чем раньше начато лечение, тем лучше результаты будут получены. Дисплазия тазобедренных суставов у детей, лечение которой начинали с трехмесячного возраста, полностью устранялась за срок не более 6 месяцев. Малыши в возрасте 3-6 месяцев лечились от 6 до 9-12 месяцев. В возрасте старше 9 месяцев при том же сроке результат был хуже.
Рентгенологическая диагностика дисплазии тазобедренного сустава
Дополнительные линии, которые помогают в диагностике дисплазии тазобедренного сустава по рентгенограммам
- срединная линия – вертикальная линия, которая проходит через середину крестца;
- линия Хильгенрейнера – горизонтальная линия, которая проводится через самые нижние точки подвздошных костей;
- линия Перкина – вертикальная линия, которая проходит через верхненаружный край вертлужной впадины справа и слева;
- линия Шентона – это линия, которая мысленно продолжает край запирательного отверстия тазовой кости и шейки бедренной кости.
Нормальные показатели ацетабулярного угла у детей разных возрастов
- у новорожденных – 25 – 29°;
- 1 год жизни – 18,5°(у мальчиков) – 20°(у девочек);
- 5 лет – 15° у обоих полов.
Величина hВеличина d.
В чем риски операции?
Установка протеза требует удаления связок, стабилизирующих сустав. Поэтому после операции за его удержание в правильном положении будут отвечать только мышцы. Если они функционируют недостаточно, например, в силу недоразвитости и ненатренированности, к тому же пациент позволяет себе опасные резкие движения, это часто приводит к вывиху сустава.
Опасными после эндопротезирования являются даже такие простые движения:
- обычное сгибание ноги, например, во время сидения или подъем колена;
- разгибание – во время замаха при ударе по мячу;
- скрещивание ног внутрь, или приведение;
- отведение ноги в сторону;
- ротация вовнутрь или наружу (сведение и разведение ступней с прямыми ногами).
Дисплазия тазобедренных суставов у детей — причины возникновения
Дисплазия тазобедренных суставов у детей, причины которой сегодня вызывают у исследователей споры и разногласия, может быть вызвана различными факторами:
- генетические аномалии, влияющие на синтез коллагена;
- гормональный дисбаланс – нарушение активности паротина, кальцитонина и паратиреоидного гормона, влияющего на процесс остификации;
- акушерское отягощение – многоплодие, уменьшение околоплодной жидкости, тазовое предлежание или слишком большой плод;
- опухоли и спайки в матке.
Часто дисплазия ТБС у детей отмечается при появлении их на свет с низким весом – менее 2,5 кг и у недоношенных новорожденных. Тазовое предлежание плода и маловодие в совокупности увеличивает риск дисплазии младенца в 9,5 раз. А каждая патология в отдельности – более чем в 3,5 раза.
Дисплазия тазобедренного сустава у плода также может возникнуть из-за курения при беременности, плохой экологии, вредных условий работы. Гормональный дисбаланс может возникать при ранней беременности или на фоне лечения гормонами. Некоторые авторы подчеркивают вред тугого пеленания малыша. Согласно исследованиям, там, где тугое пеленание было отменено, частота встречаемости дисплазии бедра у малышей снизилась на 80%.
Классификация
Выделяют несколько видов дисплазии тазобедренного сустава:
- Дисплазия бедренной кости. Механизм развития дисплазии ТБ заключается в нарушении шеечно-диафизарного угла, определяющего централизацию головки бедра в вертлужной впадине (угла сочленения шейка бедра с его телом). Может наблюдаться как уменьшение угла тазобедренного сустава — coxa vara, так и его увеличение — coxa valga (рис. ниже).
- Ацетабулярная дисплазия. Патология обусловлена нарушением развития вертлужной впадины, которая уменьшена в размерах, более плоская, с недоразвитым хрящевым ободком.
- Ротационная дисплазия. Обусловлена несовпадением осей движение всех суставов нижней конечности (избыточным углом антеторсии бедренной кости), то есть, нарушением расположения головки бедренной кости относительно вертлужной впадины.

По клинико-рентгенологическим критериям выделяют предвывих (неустойчивое бедро), подвывих (первичный, остаточный и вывих бедра (переднебоковой/боковой), надацетабулярный и подвздошный высокий вывих.

Подготовка ребёнка и техника проведения процедуры
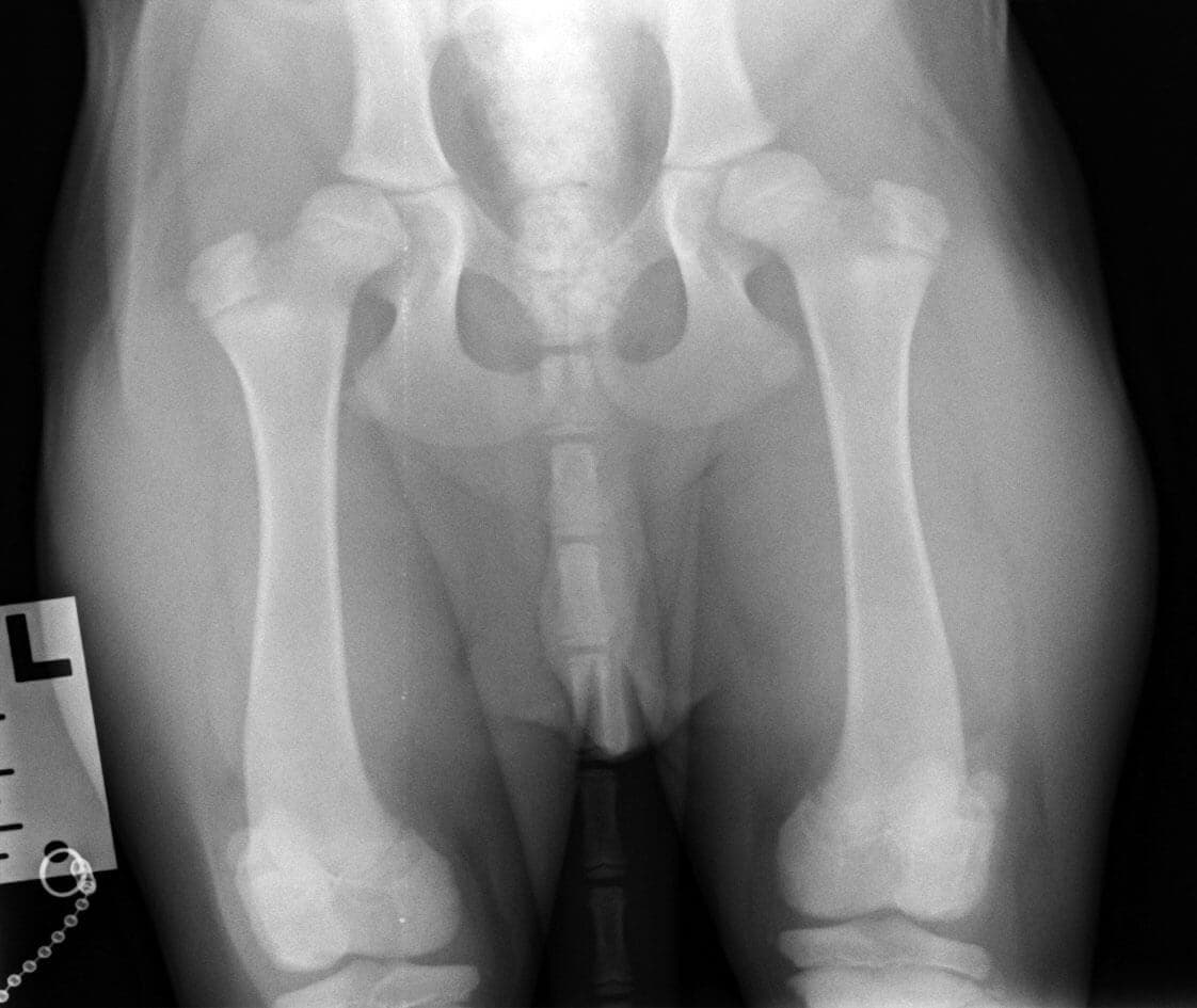
Перед проведением рентгенографии тазобедренных суставов нет необходимости осуществлять какие-либо специфические подготовительные меры. Для совсем маленьких пациентов нужно соблюдать обычный режим сна и кормления. Малышам старше года или полутора лет можно понятно и в общих чертах объяснить, что будет происходить во время рентгенографии, рассказать, что предстоящая процедура безболезненна, и бояться её не стоит.
Ребёнок в процессе рентгенографии лежит на спине. При этом ноги пациента должны быть вытянутыми ровно, их нельзя сгибать. У новорождённых детей ножки приближаются к телу и немного сдвигаются внутрь.
Если таз ребёнка плотно прижат кассетой к плоскости кушетки или стола, его движения не будут мешать фиксации снимка. Половые органы прикрываются защитным свинцовым фартуком, чтобы не допустить воздействия на них рентгеновского облучения.
Если нет противопоказаний к применению анестезии, процедуру можно проводить, введя маленького пациента в общий наркоз, чтобы гарантировать точность и качество снимков.
КАК ЛЕЧИТЬ ДИСПЛАЗИЮ ТАЗОБЕДРЕННОГО СУСТАВА У СОБАК?
Чем раньше мы определим развивающуюся патологию, тем эффективнее будет лечение. Вся ортопедическая патология закладывается до года и потом продолжает развиваться с возрастом втечение жизни. Наиболее эффективное лечение проводится до года, что может позволить остановить развитие остеоартроза (дисплазии) ТБС у собак с возрастом.
Крайне важно кормление молодого развивающегося щенка, и мы в этом случае рекомендуем промышленные готовые рационы для собак соответствующего возраста и размера. При кормлении готовыми рационами витамины и минералы дополнительно давать нельзя
Щенка нельзя перекармливать, так как лишний вес – это лишняя нагрузка на развивающиеся, растущие мягкие кости и суставы. Следует избегать суперстрессовых нагрузок на суставы и кости: прыжки с высоких барьеров и другое.
Наиболее эффективными методами предотвращения разрушения ТБС из-за патологической слабости его с определенной гарантией результата являются операции, проведенные в нужное время. Все операции заключаются в развороте вертлужной впадины для большего покрытия головки бедренной кости крышей вертлужной впадины, что предотвращает разрушение сустава. Следует понимать, что когда сустав уже разрушен, спасать там уже нечего, и собаке может помочь только эксцизионная артропластика (удаление головки и шейки бедренной кости) или замена сустава.
В четыре месяца можно провести плановое ортопедическое обследование с измерением дистракционного индекса тазобедренного сустава у щенка, и в случае большого DI и большой вероятности развития остеоартроза (дисплазии) ТБС, можно провести миниоперцию – «ювенильный лонный симфизиодез». Эта операция занимает около 10 минут, проводится через двухсантиметровый разрез кожи и заключается в закрытии зоны роста на лонном сращении, что в процессе роста животного приводит к большему покрытию головки бедренного сустава, большей его стабильности и, как следствие, предотвращению развития остеоартроза ТБС у собак. Ювенильный лонный симфизиодез проводится до пяти месяцев, но чем ближе к ним, тем меньше потенциал роста щенка, тем менее эффективна методика. Данная операция хорошо переносится щенком, он сразу ходит, может быть незначительная скованность походки, но это быстро проходит. Ювенильный симфизиодез на девяносто процентов предотвращает развитие дисплазии тазобедренного сустава.
ПРИМЕР ОБСЛЕДОВАНИЯ НА ВЕРОЯТНОСТЬ РАЗВИТИЯ ОСТЕОАРТРОЗА В 4 МЕСЯЦА.
Щенок лабрадора 4 мес. Уже на проекции “лежа на спине с вытянутыми ногами” видно недостаточное покрытие головок бедренной кости крышей вертлужной впадины.

На снимке “дистракционная проекция” виден значительный выход головки бедренной кости из вертлужной впадины, что говорит о значительной вероятности развития остеоартроза в ближайшие годы жизни животного.


С пяти до семи месяцев проводится «двойная остеотомия таза». Эта операция заключается в выполнении двух распилов на костях таза собаки, обеспечивающих подвижность вертлужной впадины, которая разворачивается на определенный градус для обеспечения достаточного покрытия головки бедренной кости и фиксируется на пластину. Операция достаточно сложная в выполнении. После нее идет строгое ограничение подвижности животного в течение двух месяцев, чтобы все распилы хорошо срослись в новом положении. Сравнивая с «тройной остеотомией таза» восстановление идет значительно быстрее, и собака начинает опираться на ногу уже на седьмой день.
С восьми до одиннадцати месяцев проводится «тройная остеотомия таза» – это практически то же самое, что и «двойная остеотомия таза», с той лишь разницей, что проводится не два, а три распила костей таза для обеспечения подвижности вертлужной впадины с последующей ее фиксацией на пластину в новом положении. Это тяжелая операция для хирурга, животного и его хозяина, но она дает результаты и предотвращает разрушение сустава у взрослого животного.
После года операций по спасению тазобедренного сустава не проводится, а терапия является мультимодальной, направленной на уменьшение скорости развития остеоартроза суставов, и заключается в контроле веса и физиотерапии, некоторой медикаментозной поддержке.
Вся диагностика и все операции выполняются опытными специалистами нашей клиники, мы не теряем связи с нашими пациентами и их хозяевами и всегда готовы помочь в постоперационном периоде.
Проведите раннюю диагностику своему щенку на предмет возможности развития дисплазии тазобедренного сустава, обеспечьте ему и себе качественную жизнь в дальнейшем.
Как понять, что у вас коксартроз
Кости тазобедренного сустава покрыты суставным хрящем, который обеспечивает мягкое скольжение и помогает распределять нагрузку во время ходьбы. Суставная жидкость выполняет амортизирующую и питательную функцию. На фоне развития коксартроза характеристики суставной, или синовиальной жидкости меняются – она больше не способна достаточно смазывать хрящевую ткань. Хрящ подсыхает, истончается – кости сустава начинаются тереться друг о друга и деформироваться.
На разных стадиях эти процессы сопровождаются:
- болью в паху и бедре;
- болезненностью во время ходьбы, подъема со стула или с кровати;
- хрустом в суставе;
- ограничением подвижности;
- небольшим прихрамыванием вследствие атрофии мышц бедра.







































![О.а. соколовским с соавт. описана классификация, основанная на выделении типов сустава с преобладанием тазового или бедренного компонентов патологии [8].](https://marisolca.ru/wp-content/uploads/8/2/4/82483075fb3b5a49451a7b19387d816c.jpeg)
















