Ультразвуковая диагностика
УЗИ органов брюшной полости
Подготовка к исследованию начинается с коррекции диеты. За 3 дня до исследования необходимо исключить из рациона ряд продуктов, способствующих газообразованию: хлеб из темной муки, молоко в любом виде (каши и супы на молоке, чай и кофе с молоком), некоторые виды овощей и фруктов (такие, как фасоль, горох, капуста, виноград, яблоки, сливы), сладкие и мучные блюда (торты, пирожки), а также любые газированные напитки.
Чтобы максимально очистить кишечник от газов, в день, предшествующий исследованию, следует принимать Эспумизан (по 2 капсулы 3 раза за сутки – утром, днем и вечером. Утром в день обследования также надо принять 2 капсулы Эспумизана, не запивая их водой. Другой вариант подготовки: в течение трех дней перед исследованием принимать активированный уголь (по 2 таблетки 2 раза в день).
Исследование проводится строго натощак. Последний прием пищи должен быть не менее, чем за 6 часов до обследования. В том случае, если УЗИ делается во второй половине дня, утром допустим легкий завтрак.Исследование проводится строго натощак: в течение как минимум 8 часо
Исследование не проводится после гастроскопии и колоноскопии.
Если исследование проводится грудным детям, последнее кормление должно быть не позднее, чем за 2 часа до исследования.
Строго натощак выполняются исследования отдельных органов брюшной полости: УЗИ желудка, желчного пузыря, эластометрия печени.
УЗИ органов малого таза (для женщин)
Подготовка нужна только при трансабдоминальном методе исследования (при трансвагинальном УЗИ подготовки не требуется).
За час до исследования необходимо выпить не меньше 1 литра негазированной жидкости, чтобы наполнить мочевой пузырь. Возможно, вам будет удобно прийти заранее и выпить воду уже в поликлинике.
Не опорожняйте мочевой пузырь до прохождения исследования.
УЗИ мочевыделительной системы и мочевого пузыря
Исследование проводится на полный мочевой пузырь. Поэтому за час до исследования надо выпить около 1 литра негазированной жидкости. До прохождения исследования опорожнять мочевой пузырь нельзя
УЗИ почек и надпочечников не требует наполнения мочевого пузыря, однако наличие газов в кишечнике может затруднять диагностику, поэтому при плановом характере исследования желательна подготовка, как при УЗИ органов брюшной полости.
УЗИ простаты у мужчин
Если процедура проводится трансабдоминально, необходимо наполнить мочевой пузырь, для чего следует выпить около 1 литра воды за час до исследования.
Если процедура проводится трансректально, необходимо предварительно очистить прямую кишку, сделав клизму.
Методика проведения процедуры
- Вначале родителям объясняют, как выполняется исследование.
- После подписания согласия, или иных документов, что зависит от клиники — пациента укладывают на стол томографа.
- Маленькие дети дополнительно фиксируются на нем при помощи штатных устройств, дети старшего возраста обычно лежат свободно, как взрослые.
Родители находятся в этом же помещении или вне его. Затем начинается сканирование. Пациента через громкоговоритель просят вдохнуть и не дышать, пока томограф делает предварительные сканы, используемые для разметки.
Принцип работы компьютерного томографа
Далее:
- выполняется серия поперечных сканов тела;
- изображения передаются на рабочую станцию, где их анализируют и описывают выявленные нарушения;
- после перечисленных действий врач формирует заключение.
Изредка исследование выполняется с введением контраста. Это сложнее, и требует специальной подготовки.
Подготовка к томографии
Специальная подготовка в большинстве случаев не требуется. Необходимо:
- убрать из зоны сканирования все металлические предметы, например, украшения, которые могут стать причиной искажений изображения;
- снять толстую и плотную одежду,
- снять вещи с металлизированными нитями и пуговицами.
Если КТ выполняется с контрастированием, необходимо предварительно:
- исключить аллергические состояния в анамнезе на любой препарат, особенно на йод;
- пройти лабораторные тесты с целью исключения нарушения функции почек.
Процесс выполнения исследования
Необходимо лечь на стол томографа — чаще всего на спину, намного реже на бок или на живот, и следовать подаваемым командам.
Стол перемещается внутри кольца томографа, где с одной стороны находится трубка, а с другой — ряд детекторов. Во время исследования нужно будет неоднократно задержать дыхание на непродолжительное время — от нескольких секунд до минуты.

Процедура займет не больше пяти минут, во многих случаях и меньше. Об окончании исследования оповестит врач или лаборант. Останется лишь подняться со стола и дождаться результатов.
Рекомендации после процедуры
Если томография выполнялась с контрастом, необходимо пить больше любой жидкости (вода, сок, чай) с целью скорейшего выведения контрастного препарата почками. Если контраст не вводился, единственное, что надо сделать — это дождаться заключения и следовать рекомендациям, данных врачом.
Поражение легких при коронавирусе
В 2020 году была разработана эмпирическая шкала визуальной оценки легких, в которой КТ-0, КТ-1, КТ-2, КТ-3 и КТ-4 соответствуют стадии заболевания и, соответственно, степени поражения легких.
Врач изучает каждую долю легкого (всего 5) на посрезовых сканах в поперечной и фронтальных плоскостях и оценивает объем поражения каждой по пятибалльной шкале. Если признаки воспаления отсутствуют, рентгенолог присваивает значение 0 и так далее. Если воспалительные очаги и инфильтраты присутствуют в нескольких сегментах, такую пневмонию называют полисегментарной. При коронавирусе пациентам чаще всего диагностируют двустороннюю полисегментарную пневмонию. При своевременном обращении за медицинской помощью распространение инфекции в легких можно остановить.
Степени поражения легких при коронавирусе на КТ
В заключении КТ легких пациенты видят аббревиатуры: КТ-0, КТ-1, КТ-2, КТ-3 и КТ-4 Что они обозначают?
- КТ-0 —очаги воспаления и инфильтраты не выявлены, легкие «чистые»;
- КТ-1 —поражение легких до 25%;
- КТ-2 —поражение легких 25-50%;
- КТ-3 —поражение легких 50-75%;
- КТ-4 —поражение легких > 75%.
По данным исследования «Time Course of Lung Changes at Chest CT during Recovery from Coronavirus Disease 2019 (COVID-19)», опубликованного в июле 2020 года в международном журнале Radiology, максимальное поражение легких (пик пневмонии) у большинства пациентов наблюдается на 10 день заболевания. В выборку не вошли пациенты со специфическими осложнениями, такими как ОРДС, кардиогенный отек легкого, тромбоз, тяжелые последствия которых носят непредсказуемый характер.
Скрининговая низкодозная КТ легких
Такое исследование специально направлено на ежегодный профилактический мониторинг здоровья — диагностику рака легких. По данным ВОЗ, ежегодно в мире от рака легких погибает около 10 млн. человек, и этот показатель стремительно растет. КТ достоверно снижает смертность от рака легких, поэтому пациентам старше 40 лет рекомендуют ежегодный скрининг. В группу риска попадают пациенты, в семье которых отмечены случаи онкологии. Кроме того, курение, работа на вредном производстве и хронические заболевания легких также могут быть спусковым механизмом для развития злокачественных процессов. В 20% случаев рак легких вызывают инфекции HBV, HCV и HPV. Скрининговая низкодозная КТ легких покажет деструктивные злокачественные изменения в легких на ранних стадиях, когда онкологические заболевания еще поддаются успешному и сравнительно легкому лечению.
С какого возраста можно делать КТ детям?
Это самый распространённый и часто задаваемый вопрос родителей. Неудивительно, так как обследование основано на ионизирующем излучении, и не каждый родитель полноценно осведомлён какую дозу выдаёт томограф, какие нормы вообще допустимы. Да, можно сказать с уверенностью, что если есть альтернатива рентгенологического обследования, то лучше ею воспользоваться, но не всегда это возможно. Например, МРТ имеет ряд противопоказаний, хотя и основан на безвредном магнитном воздействии. Выполняют КТ обследования с самого рождения. Но должна быть весомая причина, чтобы врач назначил компьютерную томографию грудничку. Такие обследования проводят только детские больницы. И ещё один нюанс – процесс обследования требует от пациента неподвижности. Попробуйте детей уложить спокойно! Да, более старшего возраста дети могут спокойно полежать во время процедуры, особенно, если кто-то из родных находится рядом (это допускается, ограничение существует для беременных мам). Но совсем маленькие детки не могут лежать без движения и пару минут. В таком случае обследование выполняется под анестезией.
Как коронавирус выглядит на КТ?


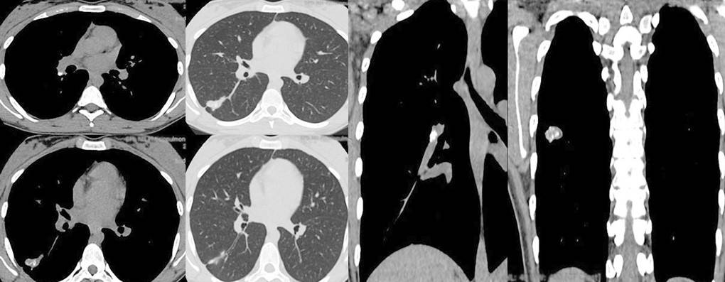
При коронавирусе на КТ отчетливо и ясно визуализируются инфильтраты в легких — участки, заполненные экссудатом (жидкостью, кровью, гноем), вследствие чего дыхание затруднено.
Особенно наглядно они представлены на 3D-реконструкции дыхательных путей. Такое изображение получается после компьютерной обработки сканов. Эти данные тоже записываются на диск, и пациент может посмотреть визуализацию его собственных легких.
По данным актуальных исследований, публикуемых в журнале Radiology, вирусная пневмония, вызванная COVID-19, чаще всего проявляется на КТ изображениях в виде двухсторонних затемнений по типу «матового стекла» и уплотнений легочной ткани, например, утолщения альвеолярных перегородок. На томограммах это, напротив, более светлые участки, поскольку они свидетельствуют о повышенной плотности легочной ткани, а она хуже пропускает рентгеновские лучи.
Наличие одиночного очага поражения по типу «матового стекла» в правой нижней доле легкого может быть интерпретировано как начальное, самое первое проявление вирусной пневмонии.


Отметим, что «матовые стекла» не являются специфическим признаком пневмонии при коронавирусе. Этот признак характерен для опухолей, кровоизлияний и других инфекций. По результатам КТ легких возможна лишь первичная дифференциальная диагностика пневмоний (бактериальной, вызванной пневмококком, грибками и др.). «Рисунок» этих заболеваний может лишь незначительно различаться. Чтобы врачи могли правильно поставить диагноз, пациенту следует пройти дополнительное обследование, например, сделать ПЦР. Лабораторная диагностика поможет выявить специфического возбудителя воспаления легких.
Когда заболевание переходит в более позднюю стадию, рисунок становится более специфическим. Коронавирусную пневмонию на КТ легких определяют по следующим признакам.
Пятое — некачественная расшифровка
«Как человек может узнать, выдали ему качественное заключение или нет? Очень просто. Если вам дали листок А4 с несколькими строчками, которые подытожены заключением „патологий не выявлено“, вы потратили деньги зря. Сотрудник, проводящий КТ и МРТ, — не врач, он медицинский специалист, который может видеть или не видеть те или иные проблемы, не более того. Он обязан их детально описать для врача, который будет оценивать результаты», — отмечает врач.
Например, если проводится исследование брюшной полости, то там может быть множество образований, какие-то из них — это норма, каких-то быть не должно. И специалист, проводящий исследование, должен их все указать и подробно описать, иначе процедура не имеет смысла, объясняет Серебрянский. «В правильном описании достаточно много граф и полей. Также повод насторожиться, если вам слишком быстро выдали результаты. Если вы получили их менее, чем через полчаса после исследования, это значит, что вами никто не занимался», — говорит врач.
Также стоит обратить внимание на то, на каком носителе вам выдают информацию. «Если это только несколько снимков, значит, можете считать, что исследование вам фактически не проводилось
В связи с тем, что количество срезов на современных приборах достаточно большое, многие вообще не печатают снимки, все записывается на диск или на флешку, если количество информации слишком большое», — подчеркивает Олег Серебрянский.
КТ легких с контрастом
В некоторых случаях пациенту показано сделать КТ легких с контрастом. Контраст — это специальный йодосодержащий препарат, который внутривенно вводится пациенту перед диагностикой. КТ легких с контрастом позволяет визуализировать сосуды и дифференцировать новообразования.
Контрастный препарат проходит по кровеносной системе, «окрашивая» изнутри сосуды и органы. Входящие в состав контраста молекулы йода позволяют препарату активнее поглощать рентгеновские лучи и делают мягкие ткани на томограммах более яркими. КТ грудной клетки с контрастом делают, чтобы оценить состояние легочных сосудов, кровообращение, а также чтобы повысить информативность обследования в случае, когда это необходимо, например при диагностике новообразования.
Обычно исследование с контрастом назначается врачом. Иногда такая необходимость возникает после первого сканирования без контраста, если у пациента были обнаружены признаки подозрительных патологических процессов, которые необходимо исключить или исследовать более подробно. Однократное повторное сканирование абсолютно безопасно для пациента. Первично отличить доброкачественное новообразование от онкогенного процесса также возможно в рамках КТ легких с контрастом.
Для быстрого, прецизионного и безболезненного введения препарата мы используем аппарат инжектор. Обследование с контрастом занимает около 15-20 минут.
Препарат для контрастного усиления сканов КТ не вредит организму и выводится из организма в течение суток после КТ легких. Для оценки состояния органов грудной клетки и легких, например, для уточнения степени их поражения при пневмонии, выявления туберкулеза, бронхита и др. достаточно нативной компьютерной томографии без контраста.

Подготовка к КТ легких
Исследование без контраста не требует специальной подготовки — сделать КТ легких можно сразу по предварительной записи на исследование.
При подготовке к КТ грудной клетки с контрастом придерживайтесь следующего алгоритма:
- Не более чем за 10 дней до томографии сделайте анализ крови на креатинин. Поскольку йодосодержащий препарат будет выводиться почками, необходимо проверить, не нарушена ли их работа.
- За 3 часа до обследования следует сделать последний прием пищи.
- Если вы принимаете сахароснижающие препараты, то перед КТ следует приостановить их прием на 1-2 дня. Однако делать это следует только по предварительному согласованию с эндокринологом.
Патологические изменения, выявляемые на КТ
Чаще всего компьютерная томография детям выполняется по поводу воспалительных заболеваний (пневмонии, абсцессы).
- До 90% всех томографических исследований в детском возрасте обусловлены пневмонией.
- Вторая наиболее частая причина — туберкулез легких (5-8%).
- Третья причина — травмы костного каркаса грудной клетки, позвоночника, мягких тканей, а также ранения.
- Четвертая причина — новообразования в легких и средостении. Сюда можно включить и увеличение тимуса.
- Также исследование выполняется с целью оценки аномалий, например, добавочных или клиновидных позвонков, слияния ребер, нарушений развития мягкотканных структур.
- Относительно редко КТ легких выполняется для оценки постоперационных изменений. Выявленные на томограммах изменения обладают более высокой специфичностью по сравнению с традиционной рентгенографией.
КТ ребенка с положительной пробой с аллергеном туберкулезным рекомбинантным
Ход обследования
КТ позвоночника выполняют на компьютерном томографе. От пациента требуется лечь на стол, который затем окажется под сканирующей частью аппарата. Врач укажет, какое именно положение нужно принять. Во время сканирования требуется лежать без движения. Это не очень сложно, учитывая, что аппаратура собирает нужные данные максимум 30 секунд. Специальной подготовки не требуется, все, что нужно знать, врач расскажет прямо в кабинете.
Обычное сканирование называется нативным. Кроме него также применяется исследование с контрастным веществом. Используется реже, чаще при подозрении на онкологические процессы в тканях позвоночника и спинного мозга. Перед исследованием с контрастом могут потребоваться дополнительные анализы. Контрастное вещество абсолютно безвредно и полностью выводится из организма в течение суток после процедуры.
Показания
- любые травмы позвоночника и окружающих мягких тканей
- невралгия
- диагностика патологий межпозвонковых дисков
- диагностика опухолей позвоночника
- воспалительные процессы в мягких тканях позвоночника
- диагностика анатомических аномалий развития
- контроль эффективности хирургического лечения
Противопоказания
- беременность
- аллергия на контрастное вещество
Наши медицинские центры
Северное отделение (МРТ и КТ)
Удельная
Развернуть
м. Удельная, пр-т Энгельса, д. 33
ПН-СБ: с 8.00 до 22.00ВС: с 9:00 до 18:00 (МРТ)
МРТ и КТ
Центральное отделение (Клиническое отделение)
Фрунзенская
Развернуть
м. Фрунзенская, ул. Киевская, д. 5 к.4
ПН-СБ: с 8.00 до 20.00ВС: 09.00 до 17.0002.05.2021 – выходной
Клиническое отделение
Центральное отделение (МРТ и КТ)
Фрунзенская
Развернуть
м. Фрунзенская, ул. Киевская, д. 5 к.5
ПН-ВС: с 8.00 до 22.00
МРТ и КТ
Южное отделение (МРТ и КТ)
Ленинский проспект
Развернуть
м. Ленинский проспект, Ленинский пр., д. 160
ПН-ВС: с 8.00 до 0.00 (МРТ)ПН-ВС: с 8:00 до 22:00 (КТ)
МРТ и КТ
Южное отделение (Клиническое отделение)
Ленинский проспект
Развернуть
м. Ленинский проспект, Ленинский пр., д. 160
ПН-СБ: с 8:00 до 17:00ВС: выходной
Клиническое отделение
Что показывает компьютерная томография грудной клетки у детей
Сканирование лёгких ребенка назначается только с целью выявления опасных, жизнеугрожающих состояний. Делать КТ без определения показаний нельзя!
Что показывает томография органов грудной полости у детей:
- Пневмонию;
- Туберкулез;
- Саркоидоз;
- Опухолевые новообразования;
- Изменения лимфатической системы средостения;
- Кисты легочной паренхимы;
- Кровотечения;
- Переломы ребер;
- Гематомы;
- Врожденные аномалии;
- Воспаление морфологические изменения, аномалии строения бронхов.
Современные МСКТ-аппараты расширяют перечень выявляемых нозологических форм за счет повышения разрешения, улучшения визуализации мягких тканей.
Вредно ли компьютерное сканирование ребенка
Оптимально определить вред компьютерного сканирования не возьмется ни один специалист. Врачи отмечают ежегодный уровень облучения, который получает каждый человек от естественного фона планеты – около 2000 мЗв. Томография легких и бронхов приводит к облучению человека в дозе двукратно или трехкратно превышающей действие годового радиационного фона планеты на человека.
С какого возраста делают КТ ребенку
Специалисты утверждают о возможности выполнения компьютерной томографии ребенку или новорожденному при наличии абсолютных показаний к исследованию. Исследовать головной мозг можно в первый год жизни малыша, если предполагаются врожденные аномалии, а альтернативные методы диагностики оказывают малоэффективными.
Нужно понимать важность своевременного обнаружения переломов ребер, кровоизлияния в грудную полость, гематомы, возникающих после тяжелых травматических повреждений. Без наличия строгих показаний нельзя делать компьютерную томографию ребенку любого возраста
Если существует угроза жизни, здоровью, ограничений не существует. Вред будет большого у того пациента, на которого действовала высокая доза, а клетки находились в фазе активного размножения.
Текст подготовил

Котов Максим Анатольевич, главный врач центра КТ «Ами», кандидат медицинских наук, стаж 19 лет
Список источников
- The American Cancer Society medical and editorial content team. Key Statistics for Lung Cancer, 2020.
- Eva-Christina Schliewert , Kara M Lascola, Robert T O’Brien, Stuart C Clark-Price, Pamela A Wilkins, Jonathan H Foreman, Mark A Mitchell, Susan K Hartman, Kevin H Kline. Comparison of radiographic and computed tomographic images of the lungs in healthy neonatal foals, 2015.
- Eva-Christina Schliewert , Kara M Lascola, Robert T O’Brien, Stuart C Clark-Price, Pamela A Wilkins, Jonathan H Foreman, Mark A Mitchell, Susan K Hartman, Kevin H Kline. Comparison of radiographic and computed tomographic images of the lungs in healthy neonatal foals, 2015.
- Sokolov V.A., V.M. Kartashov, A.I. Piven’, S.Iu. Krasnoborova, L.V. Blinova, A.V. Savel’ev. X-ray longitudinal and computed tomography in the diagnosis of peripheral tumor-like formations of the lungs, 1997.
- Струтынский А.В., Юдин А.Л., Семенов Д.В., Афанасьева Н.И., Семенов В.А. Опыт применения компьютерной томографии высокого разрешения легких в диагностике и оценке результатов лечения внебольничной пневмонии, 2011.
- Котов М.А. Опыт применения компьютерной томографии в диагностике заболеваний органов дыхания у детей / Материалы X Невского радиологического Форума (НРФ-2018). – СПб., 2018, Лучевая диагностика и терапия. 2018. № 1 (9). — С. 149.
- Министерство Здравоохранения РФ. Временные методические рекомендации. Профилактика, диагностика и лечение новой коронавирусной инфекции COVID-19, версия 8, 2020.
- Британский Королевский Радиологический Колледж, Федеральное государственное бюджетное учреждение здравоохранения «Клиническая больница №122 им. Л. Г. Соколова ФМБА России». Информация для пациентов, которым планируется выполнение компьютерной томографии.
- Всемирная Организация Здравоохранения / Информационные бюллетени: рак, 2018.
Учет доз облучения
По закону, каждое диагностическое исследование, связанное с рентгеновским облучением, должно быть зафиксировано в листе учета дозовых нагрузок, который заполняет врач-рентгенолог и вклеивает в вашу амбулаторную карту. Если вы обследуетесь в больнице, то эти цифры врач должен перенести в выписку.
На практике этот закон мало кто соблюдает. В лучшем случае вы сможете найти дозу, которой вас облучили, в заключении к исследованию. В худшем — вообще никогда не узнаете, сколько энергии получили с незримыми лучами. Однако ваше полное право — потребовать от врача рентгенолога информацию о том, сколько составила «эффективная доза облучения» — именно так называется показатель, по которому оценивают вред от рентгена. Эффективная доза облучения измеряется в милли- или микрозивертах — сокращенно «мЗв» или «мкЗв».
Раньше дозы излучения оценивали по специальным таблицам, где были усредненные цифры. Теперь каждый современный рентгеновский аппарат или компьютерный томограф имеют встроенный дозиметр, который сразу после исследования показывает количество зивертов, полученных вами.
Нужно ли делать КТ легких при коронавирусе?
Во время первой волны эпидемии COVID-19 в апреле 2020 г. российские медики отмечали, что у 45,5% зараженных не отмечалось клинических проявлений заболевания — у таких пациентов коронавирусная инфекция развивалась бессимптомно. На сегодняшний день КТ легких считается основным методом диагностики вирусной пневмонии, главным последствием которой является частичное поражение легких.
Альвеолы представляют собой небольшие воздушные ячейки в легком. Когда их объем сокращается из-за фиброза или скопления жидкости, происходит критическое нарушение дыхательной функции. У человека возникает одышка, кашель с мокротой (иногда с кровью), повышается температура тела.
При пневмонии, вызванной COVID-19, чаще всего беспокоит:
- Боль и дискомфорт в груди;
- Одышка и нехватка воздуха;
- Сухой кашель;
- Потеря обоняния;
- Повышенная температура.
Лабораторные анализы крови, направленные на выявление и определение вирусного возбудителя, иногда дают ложноотрицательный результат. В этой связи медиками было принято конвенциональное решение, согласно которому наличие признаков поражение легких на томограммах, несмотря на отрицательный ПЦР, должны расцениваться как вероятная коронавирусная инфекция до тех пор, пока не будет поставлен альтернативный диагноз.
Согласно действующим клиническим рекомендациям, в условиях пандемии любые уплотнения (инфильтрации) легочной ткани и признаки воспалительных изменений на рентгенограммах должны рассматриваться как подозрительные в отношении COVID-19. Это значит, что после рентгена пациента направляют сделать КТ. Чтобы избежать лишней лучевой нагрузки при подозрении на коронавирус пациенту целесообразно сразу сделать КТ легких.
Ложный результат теста на коронавирус
Как показывает практика, ПЦР-диагностика обладает 30% погрешностью — это значит, что иногда она дает ложноположительный или ложноотрицательный результат. Тем не менее, лабораторные анализы помогут выявить коронавирус или другой возбудитель инфекции, поскольку симптомы пневмонии могут быть вызваны другим возбудителем: бактерией, грибком и др.

ПЦР-диагностика представляет собой анализ крови или мокроты. Тестирование показывает ответ иммунной системы, то есть белковые антитела, которые выделяются в ответ на вирус и атакуют его. Существует три вида таких антител: IgA, IgG и IgM — они вырабатываются в разные периоды инфекции. В последнюю очередь повышается уровень IgG. Причем обнаружены эти антитела могут быть как у пациентов уже переболевших коронавирусом, так и у больных. В первом случае тест на коронавирус покажет ложноположительный результат.
Ложноотрицательный результат теста на коронавирус чаще всего связан с ранними сроками тестирования — когда исследование проведено в течение недели после заражения коронавирусом (ПЦР показывает наиболее достоверный результат только через 2 недели). Мазок, взятый из полости носа слишком поздно, также может не показать вирус, поскольку инфекция уже переместилась вниз по дыхательным путям.
Показания и противопоказания к КТ грудины
КТ грудины входит в компьютерное сканирование грудной клетки. Диагностика не является рутинным методом обследования и выполняется, если причина заболевания остается неясной или изменения на рентгенограммах требуют уточнения.
Перечислим основные показания к КТ грудины и грудной клетки:
подозрение на патологический процесс в легких, плевре, сердце, грудине, суставах, средостении;
посттравматическая диагностика;
пред- и послеоперационное обследование;
определение зоны для лучевого воздействия при злокачественных новообразованиях соответствующей области;
отслеживание динамики после проведенного лечения.
Противопоказания к КТ грудины и грудной полости
Современная аппаратура позволяет минимизировать лучевую нагрузку по сравнению с обычной рентгенографией в 1,5-2 раза: КТ ОГК безопасна для большинства людей. Исключение – беременные женщины и дети в возрасте до 14 лет. По техническим причинам диагностическая процедура невыполнима у пациентов с выраженным ожирением (выше 150 кг).
Противопоказания к выполнению контрастирования:
хроническая почечная недостаточность с повышением уровня креатинина;
гипертиреоз;
поливалентная аллергия.
Введение индикаторного препарата недопустимо, если во время или после предыдущего контрастирования развилась серьезная реакция гиперчувствительности по типу отека Квинке или анафилаксии. Небольшая тошнота, металлический привкус, головокружение, приливы жара рассматриваются как вариант нормы и не являются противопоказаниями к КТ с усилением.
Симптом булыжной мостовой

Симптом «булыжной мостовой» также называют «лоскутным одеялом». Легочная ткань на томограммах визуализируется в виде ячеек и приобретает сходство с брусчаткой. Такой рисунок наблюдается при утолщении межальвеолярных перегородок. Обширное воспаление затрагивает интерстиций, вследствие чего он уплотняется, нарушаются обменные процессы в тканях: в альвеолах накапливаются белки и липиды, сокращается воздушное пространство.
Симптом «булыжной мостовой» в сочетании с «матовыми стеклами» указывает на тяжелую, пиковую стадию пневмонии. Наблюдается на 10-12 день заболевания. При благоприятном разрешении проходит на 14-30 день.
























































