Виды
В первый год жизни малютку ждет несколько скринингов, и с первым из них кроха столкнется еще в роддоме.
Неонатальный (генетический) на наследственные заболевания
Исследование направлено на раннее выявление наследственных генетических болезней. Его проводят на четвертом дне жизни у доношенных младенцев и на седьмом дне у деток, родившихся раньше срока. Кровь берут из пятки карапуза, поскольку его пальчики столь маленькие, что это не позволяет получить достаточно крови для исследования. Пяточку прокалывают и прикладывают к специальному бланку с кружками так, чтобы кровь насквозь их пропитала.
Исследование способно определить:
- Врожденный гипотиреоз. Патология выявляется у одного из 4-5 тысяч новорожденных. Заболевание поражает щитовидную железу, нарушая ее функцию вырабатывать гормоны. Это грозит задержкой развития и роста малыша. Вовремя диагностированную болезнь лечат приемом гормонов, благодаря чему ее развитие полностью останавливается.
- Адреногенитальный синдром. Заболевание выявляют у одного малыша на 5-20 тысяч новорожденных. При такой болезни нарушается работа коры надпочечников, поэтому у малыша не хватает кортизола и альдостерона. При позднем обнаружении патология приводит к проблемам с работой почек, функцией сердечно-сосудистой системы и формированием половых органов. Если выявить это наследственное заболевание после рождения, малышу успевают вовремя назначить гормональное лечение, предотвращая осложнения.
- Галактоземию. Патология наблюдается у одного на 15-20 тысяч детей. Заболевание обусловлено нехваткой фермента, преобразующего галактозу в глюкозу, что приводит к поражению печени, нервной системы и прочих органов малыша. Основным лечением является диета, при которой молочные продукты из рациона крохи исключаются.
- Муковисцидоз. Патологию выявляют у одного ребенка на 2-2,5 тысячи новорожденных. При такой наследственной болезни поражается дыхательная система и пищеварительный тракт. Выявив заболевание при скрининге, его начинают лечить своевременно.
- Фенилкетонурию. Частота болезни – 1 на 7000 детей. При данной генетической патологии в организме младенца отсутствует фермент, отвечающий за расщепление фенилаланина. Итогом будет накопление этой аминокислоты и токсичное ее воздействие на головной мозг. Лечение патологии предусматривает специальную диету, которую назначают на длительное время. Если выявить болезнь сразу после рождения, можно предупредить отставание в умственном развитии.

Аудиологический
Это обследование направлено на обнаружение глухоты и тугоухости. Для него применяется современное оборудование.
Раньше такой скрининг назначали лишь детям групп риска, но сейчас он рекомендован всем младенцам, поскольку раннее обнаружение проблем со слухом во многих случаях позволяет добиться регенерации слуха. К тому же, поставить протез можно в первые месяцы жизни, что позволит малышам с тугоухостью развиваться на том же уровне, что и нормальнослышащие детки.

УЗИ – ультразвуковой
Данный вид скрининга назначают в течение первых трех месяцев жизни крохи. Во время обследования могут быть выявлены:
- Патологии головного мозга – как врожденные, так и приобретенные внутриутробно либо во время родов. Если обнаружить такие проблемы несвоевременно, у малыша появятся неврологические расстройства и могут нарушиться функции мозга.
- Патологии внутренних органов. Такой скрининг показан, если у ребенка были выявлены проблемы во время внутриутробного развития, а также при задержке роста, нарушениях пищеварения, мочеиспускания и наличии прочих неблагоприятных симптомов.
- Патологии тазобедренных суставов. Если обнаружить проблемы в первые недели жизни, лечение будет более коротким, а операции можно избежать.

Что такое скрининг новорожденных
Массовое комплексное обследование в роддоме или детской поликлинике – такое определение дают врачи скринингу новорожденных. Получение назначения еще не говорит об отклонениях у малыша: подобной проверке подвергаются все. Целью является выявление имеющих самую большую распространенность заболеваний, имеющих наследственный или врожденный характер. Чем раньше будет выявлена патология, тем выше шанс предотвратить тяжелые осложнения и обеспечить ребенку нормальное развитие, поэтому скрининг откладывать не стоит.
Сроки и место обследования
Проведение скрининга осуществляется в роддоме или детской поликлинике, к которой прикреплен новорожденный вместе с матерью. Комплекс мероприятий носит обязательный характер и требует выполнения в первый месяц жизни ребенка, когда шансы на остановку или замедление прогрессирования тяжелых патологий максимально велики. Некоторые процедуры скрининга можно провести у детей возрастом 2-3 месяца, но анализы крови рекомендовано брать в первые 10 дней.

Что обследуется
В некоторых источниках упоминается только неонатальный скрининг новорожденных в роддоме, предполагающий взятие анализа крови на выявление генетических заболеваний, но это лишь 1 элемент большого комплекса. Для грамотной оценки состояния здоровья малыша нужны следующие мероприятия:
- аудиологическая проверка слуха новорожденного при помощи специального аудиометра;
- осмотр узкими специалистами – кроме неонатолога (педиатра для новорожденных, измеряющего рост, вес, оценивающего физическое развитие) привлекаются окулист (проверка глазного дна, воспалительных заболеваний глаз, состояния слезных путей), хирург (исключает грыжи, гемангиомы), ортопед (первоочередно осматриваются зона таза, стопы), невролог (для проверки рефлексов, предотвращения развития заболеваний нейрогенного происхождения);
- проведение ультразвуковых исследований в отношении головного мозга, шеи, тазобедренных суставов, органов брюшной полости, почек (возможно добавление иных зон по показаниям врача).
Положение об отделении реанимации и интенсивной терапии новорожденных
I. Общее положение.1.1 Отделение реанимации и интенсивной терапии новорожденных (ОРИТН) организовано в составе Областного клинического перинатального центра (ВОКПЦ № 1) и является его структурным подразделением.1.2 В ОРИТН осуществляется оказание экстренной и плановой лечебной помощи новорожденным, рожденным в ВОКПЦ № 1 и переведенным из других лечебных учреждений области.1.3 Деятельность отделения реанимации и интенсивной терапии новорожденных регламентируются соответствующими нормативными документами, локальными нормативными актами, приказами по учреждению.
II. Цель и задачи отделения реанимации и интенсивной терапии новорожденных.2.1 Основной задачей ОРИТН является снижение перинатальной заболеваемости и смертности за счет:- оказания высококвалифицированной помощи новорожденным, требующим поддержания жизненно важных функций и проведения интенсивной терапии, включая пациентов с хирургической патологией в предоперационном периоде;- обеспечения санитарно-противоэпидемических. мероприятий на современном уровне и профилактика госпитальной инфекции;- проведения санитарно-просветительской работы с матерями и родственниками новорождённых и оказание эмоциональной поддержки родителям больных детей.2.2 Оказание практической, учебно-методической помощи врачам неонатологам и анестезиологам-реаниматологам районов области.2.3. Анализ дефектов при оказании помощи новорожденным в ВОКПЦ № 1 и районах Волгоградской области.2.4. Постоянная взаимосвязь с организационно-методическим отделом, дистанционно- консультативным центром с выездной анестезиологореанимационной неонатальной бригадой скорой медицинской помощи и РКЦ Областной детской больницы.
III. Структура отделения реанимаиии и интенсивной терапии новорожденных.3.1. Руководство отделением осуществляет заведующий, назначаемый и освобождаемый от занимаемой должности руководителем учреждения в установленном порядке.3.2. Заведующий отделением непосредственно подчиняется заместителям главного врача по анестезиолого-реанимационной и педиатрической помощи.3.3. Штаты отделения устанавливаются в соответствии с действующими нормативными документами с учетом местных условий или рассчитываются в соответствии с профилем и уровнем учреждения.3.4. Медицинский персонал в своей работе руководствуется должностными инструкциями, утвержденными главным врачом учреждения.
IV. Функции отделения реанимации и интенсивной терапии новорожденных.1. Оказание лечебно-диагностической помощи новорожденным:- мониторинг новорожденного на протяжении критических периодов ранней адаптации;- лабораторное и инструментальное исследование;- лечебно-охранительный режим и не агрессивные методы терапии;- оптимизация функций жизнеобеспечения;- индивидуализация и оптимизация интенсивной терапии;- этапность оказания интенсивной помощи новорожденным на ее различных уровнях;2. Организационно-методическая:- оказание практической, учебно-методической помощи врачам неонатологам и анестезиологам-реаниматологам районов области на рабочем месте, в отделении;- анализ историй болезни новорожденных с экспертной оценкой, родившихся в ОКПЦ и районах области;- анализ основных показателей работы отделения ежемесячно, ежеквартально;- оказание лечебно-консультативной помощи врачам неонатологам ВОКПЦ № 1;- участие в контрольно-экспертных комиссиях по перинатальной заболеваемости и смертности;3. Аналитическая функция:- оперативный и плановый анализ показателей перинатальной заболеваемости и смертности в ВОКПЦ № 1, совместно с информационно-аналитическим центром ОКПЦ и сотрудниками кафедры ФУВ ВолГМУ;- анализ дефектов лечения и обследования новорожденных в ОРИТН;
V. Критерии качества работы ОРИТН.- ранняя неонатальная смертность в ВОКПЦ № 1;- неонатальная смертность в ВОКПЦ № 1;- летальность по отделению, отдельно в группе доношенных и недоношенных;- заболеваемость госпитальной инфекцией в отделений;- летальность среди новорожденных находившихся на ИВЛ;- удельный вес пролеченных на продленной ИВЛ в различных весовых категориях (доношенные, недоношенные);- процент внутрижелудочных кровоизлияний, ретинопатия новорожденных и бронхолегочной дисплазии среди недоношенных детей;- выживаемость детей с очень низкой и экстремально низкой массой тела;- койко-день;- удельный вес расхождений диагнозов по данным патологоанатомических вскрытий.- учет перегоспитализированных новорожденных.
Какие наследственные заболевания выявляет

Обязательный скрининг новорожденных включает следующий список самых распространенных патологий:
- Муковисцидоз (кистозный фиброз) — системное генетическое заболевание, вызывающее в организме образование вязкой слизи, в результате чего происходит нарушение работы органов дыхания, печени, желудочно-кишечный тракта, экзокринные желез. При раннем выявлении муковисцидоза можно значительно уменьшить риск осложнений, инвалидности и повысить продолжительность жизни. Встречается у 1 ребенка из 7000.
- Гипотиреоз — заболевание, при котором щитовидная железа вырабатывает недостаточно тиреоидных гормонов, что сильно ухудшает развитие всех систем и органов ребенка. При отсутствии терапии в первую очередь начинает страдать нервная система, что негативно влияет на умственном развитии. Также болезнь приводит к отставанию в физическом развитии. При своевременной диагностике гипотиреоз хорошо поддается лечению. Распространенность — 1 случай из 5000.
- Фенилкетонурия — нарушение аминокислотного обмена, вызванное недостаточной выработкой в печени определенных ферментов, осуществляющих превращение фенилаланина в аминокислоту тирозин. Последствия болезни тяжелые — серьезное нарушение умственного развития, поражения ЦНС. Но их можно избежать, если фенилкетонурия выявлена на ранней стадии. Лечение заключается в соблюдении специальной диеты. Встречается у 1 малыша из 15000.
- Адреногенитальный синдром — нарушение выработки гормона кортизола корой надпочечников. Патология проявляется у ребенка задержкой полового развития, нарушением роста (после 12 лет он останавливается) и солевого обмена. Вылечить синдром невозможно, но, с помощью гормональных препаратов его можно держать под контролем. Распространенность — 1 случай из 10000.
- Галактоземия — нарушение метаболизма углеводов, характеризующееся отсутствием некоторых ферментов в детском организме, что вызывает сбой в расщеплении галактозы (вещество, поступающее с молоком). Заболевание неизлечимо, но можно облегчить его течение. Раннее выявление поможет избежать тяжелых осложнений (желтуха, поражение органов, ЦНС) и даже смерти. В основу терапии входит специализированная диета, которой придерживаются около 5 лет. В тяжелых случаях ее нужно будет придерживаться всю жизнь. Также назначаются препараты для улучшения метаболизма, витамины, кальций. Распространенность — 1 случай из 10000-15000.
В список вошли именно эти врожденные патологии, потому что при ранней диагностике их можно вылечить, либо значительно снизить риск развития возможных от них тяжелых последствий. Но количество болезней, которые может определить это исследование, намного больше, и при желании родители могут провести новорожденному расширенный скрининг.
Аудиологический скрининг новорожденных
На 3-4 сутки (2–6 неделя у недоношенных) жизни младенца необходимо провести проверку слуха, который крепко связан с речевой функцией. Аудиоскрининг осуществляется при помощи электроакустического зонда: тонкой трубки, присоединенной к компьютеру, и имеющей сверхчувствительный микрофон на конце. Сам метод обследования простой:
- Малыш находится в полной тишине, по возможности – спит. Сосание пустышки в этот момент недопустимо.
- Врач вводит зонд в наружный слуховой проход новорожденного: это не больно и длится всего 1,5 минуты.
- Через микрофон в ухо проходят звуки разной частоты и прибор фиксирует «ответ»: колебания волосковых клеток в улитке.
По результатам аудиоскрининга врач определяет наличие повышенного риска тугоухости и глухоты, но у большинства детей все нарушения проявляются только на 2-м году жизни, поэтому процедура считается не самой эффективной. При выявлении проблем в зависимости от степени их тяжести возможен своевременный подбор слухового аппарата или назначение кохлеарной имплантации, что предотвратит отклонения речевой функции. Следующий этап аудиоскрининга назначается новорожденным, входящим в группы риска – у них:
- недостаточная масса тела;
- недоношенность;
- возможна наследственная тугоухость;
- наблюдалась асфиксия (кислородное голодание) во время появления на свет;
- мать испытывала тяжелый токсикоз или гестоз;
- мать переболела вирусными или инфекционными заболеваниями;
- мать во время беременности принимала токсичные для плода антибиотики.
Какие бы результаты ни были получены на 1-м этапе скрининга, новорожденным, входящим в данные группы риска, следует до достижения 3-месячного возраста пройти обследование у сурдолога (узкий специалист по слуху). Аналогичная рекомендация для детей, имеющих неудовлетворительный результат аудиоскрининга, но раньше – когда малышу исполнится месяц. После будет назначен 2-й этап проверки – когда грудничок достигнет годовалого возраста. Если подтвердится наличие проблем со слухом, родителей с ребенком направят в реабилитационный центр.
Результаты скрининга, как их оценить?
В современных приборах, которые проводят обследование, результаты скрининга отражаются на табло в виде надписей. Если все в порядке и малыш прошел скрининг — это PASS, если же со слухом имеются проблемы и результаты сомнительны — это REFFER. Но это совершенно не диагноз, все результаты скрининга имеют предположительные результаты. При помощи прибора отбираются дети, у которых вероятны (но не обязательны) слуховые отклонения, им необходимо более прицельное обследование. Если малыш проходит скрининг, на этом его обследование завершится, если не прошел — его направляют к специалисту, уточнять — есть ли отклонения слуха.
Если результаты скрининга сомнительны, в роддоме выявили отклонения, что делать дальше? Прежде всего, повторно проходится первый этап — такое же обследование врачом уже в поликлинике. Если повторные результаты скрининга (регистрация ОАЭ) снова положительные, педиатр направит родителей с малышом в сурдологический кабинет или центры слуха, где проведут второй этап, более прицельные и глубокие исследования. Если это ребенок из группы риска, даже если результаты скрининга были хорошие, он все равно будет направлен на консультацию и второй этап обследования. Таких детей обследовать будут не педиатры, а особые специалисты — отоларингологи-сурдологи.
Что оценивается при УЗИ в 1 триместре
1. Копчико-теменной размер (КТР) плода
Этот показатель точно определяет срок гестации (беременности), особенно в случае, если женщина не помнит 1-й день последней менструации, либо если менструальный цикл у нее не регулярный. В заключении срок беременности выставляется по КТР плода, а не по дате последней менструации.

Правильное измерение КТР плода
2. Маркеры хромосомной патологии:
– толщина воротникового пространства (ТВП) – является основным признаком хромосомной патологии у плода. Патологической величиной считается увеличение ТВП больше 95-й процентили для каждого срока гестации. Каждое увеличение ТВП повышает риск существования хромосомной аномалии у плода.


ТВП в норме ТВР при патологии
Важно понимать, что увеличение ТВП – это признак (маркер), но не точная диагностика хромосомных аномалий у плода. Определить наличие синдрома Дауна и других заболеваний у будущего ребенка позволяет только инвазивная диагностика с последующим генетическим анализом.. – носовая кость
У плодов с синдромом Дауна носовая кость может отсутствовать, либо быть уменьшенной (гипоплазированной). Очень редко такое может встречаться и у совершенно здоровых детей. Точный диагноз устанавливается только при помощи генетического анализа.
– носовая кость. У плодов с синдромом Дауна носовая кость может отсутствовать, либо быть уменьшенной (гипоплазированной). Очень редко такое может встречаться и у совершенно здоровых детей. Точный диагноз устанавливается только при помощи генетического анализа.

Нормальная носовая кость Отсутствие носовой кости
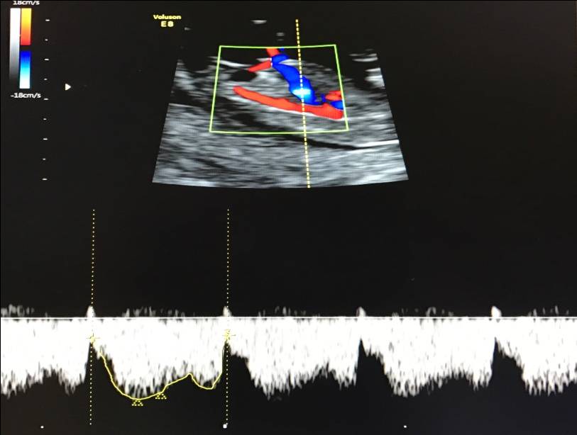
– кровоток в венозном протоке – это маленький сосуд в печени плода. При обратном (ретроградном) токе крови в данном сосуде можно предположить, что у плода хромосомный синдром, либо врожденный порок сердца.

Нормальный кровоток в венозном протоке
Но важно правильно получить этот кровоток и дать ему оценку. Для этого требуются определенные навыки и квалификация врача, которые подтверждаются ежегодной сертификацией FMF.. – кровоток через трикуспидальный клапан в сердце плода
Здесь ретроградный (обратный) кровоток тоже указывает на хромосомную патологию, либо может проявляться при врожденных пороках сердца.
– кровоток через трикуспидальный клапан в сердце плода. Здесь ретроградный (обратный) кровоток тоже указывает на хромосомную патологию, либо может проявляться при врожденных пороках сердца.

Ручка плода Мозг плода в виде “бабочки” в норме
Часто задаваемые вопросы
Организации в Санкт-Петербурге, в которых можно проверить слух вашего малыша
- Детский городской сурдологический центр. ул. Есенина, дом 26, к.4. Телефон: 338-02-03 dgsc.kzdrav.gov.spb.ru
- Санкт-Петербургский педиатрический медицинский университет, сурдологический кабинет. Литовская ул., 2 Телефон: 8-950-037-51-90 или 331-00-45
- Санкт-Петербургский НИИ уха, горла, носа и речи. Бронницкая ул., 9, Телефон: 316-45-79, 495-36-71, 8-911-245-00-54
- On-line оценка слухового поведения ребенка раннего возраста (возраст от рождения до 2х лет) http://usharik.ru/site/anketa2.php
Результат аудиологического скрининга
При отсутствии «эха» ни в коем случае нельзя сразу говорить о тугоухости.
Причинами отсутствия «эха» могут быть:
- наличие послеродовых масс в наружном слуховом проходе;
- заболевания среднего уха;
- наличие истинной патологии слуховой системы.
Если «эхо» не зарегистрировано, то Вашему малышу следует повторить проверку слуха в возрасте 1 мес. в поликлинике или территориальном центре реабилитации слуха.
Этапы нормального развития слуха и речи в первые 2 года жизни
| Возраст | Этапы развития слуха |
|---|---|
| 0-3 мес. | вздрагивает от громких звуков оживляется или успокаивается на голос матери |
| 4-5 мес. | поворачивает голову в сторону звучащей игрушки или голоса, гулит с разной интонацией |
| 6-10 мес. | реагирует на свое имя, произносит отдельные слоги /па/, /ба/, /ма/ |
| 8-10 мес. | начинает произносить разные согласные, последовательности слогов начинает понимать простые слова «нет», «пока» |
| 10-12 мес | понимает простые просьбы (Где мама? Где мячик?) повторяет звуки и простые слова за взрослым по просьбе показывает знакомые предметы |
| 1 год | произносит сам первые слова, реагирует на музыку ритмичными движениями |
| 1.5 года | выполняет простые инструкции (стой, нельзя, дай лялю) регулярно пользуется 10 или более словами |
| 2 года | прибегает, когда вы зовете из соседней комнаты по просьбе показывает различные части тела использует двухсловные фразы типа «мама дай!», «киса пить» |
Слух не всегда остается нормальным и со временем может ухудшаться.
Если у вас есть сомнения, хорошо ли ваш малыш слышит и понимает речь, то незамедлительно обратитесь к врачу и проверьте слух вашего ребенка.
Как проводится аудиологический скрининг
Для проверки слуха используется быстрый, безболезненный и абсолютно безопасный для здоровья малыша способ. Слух проверяется на 3-4 день после рождения ребенка методом вызванной отоакустической эмиссии. Обследование проводится во сне. В ухо ребенка вставляется маленький зонд, через который подается звук. Здоровое, слышащее ушко отвечает «эхом» на этот звук.
Зачем проводится аудиологический скрининг
Первые три года жизни ребенок учится слушать и говорить. Если малыш плохо слышит, то он будет плохо понимать речь или совсем не сможет ее понимать. Из-за этого трудно научиться говорить. С глубокими потерями слуха рождается примерно 1 ребенок из 1000. В прошлые годы для такого ребенка был бы закрыт мир звуков и полноценной жизни, у него бы не было речевого общения, социальной адаптации. Сегодня появились новые возможности ранней диагностики слуха и слухо-речевого развития слабослышащих детей.
При своевременно начатой программе помощи дети со сниженным слухом мало чем отличаются от сверстников. Они ходят в обычные детские сады и школы, учатся играть на музыкальных инструментах, изучают иностранные языки.
Однако, программа помощи наиболее эффективна, если она начата в первые месяцы жизни малыша.
Именно поэтому все новорожденные должны пройти проверку слуха сразу после рождения.
Насколько точен результат скрининга?
По данным систематического обзора, проведённого в 2018 году, определено, что чувствительность скрининга, составляет 76.3% (69.5—82.0), специфичность — 99.9% (99.7—99.9%) .
Отрицательный результат скрининга не исключает наличие ВПС. Некоторые пороки могут не иметь специфических проявлений, в том числе и низких значений SpO2 особенно в первые дни жизни ребёнка .
Положительный результат скрининга необязательно связан с пороком сердца, он может указывать на наличие другой патологии : гемоглобинопатии, гипотермии, инфекции, заболевания лёгких, другого ВПС, лёгочной гипертензии и пр.
Тем не менее положительный результат требует от врача незамедлительных действий для оказания помощи ребёнку — проведения Эхо-КГ и/или других обследований, возможно, консультации кардиолога. При ограниченных ресурсах роддома необходим перевод ребёнка в профильное учреждение.
Ребёнок не может быть выписан при наличии положительного результата скрининга, несмотря на удовлетворительное состояние и/или отсутствие каких-либо симптомов .
Верификация критического дуктус-зависимого ВПС означает необходимость начала введения простагландинов группы Е1.
Как проводят аудиологический скрининг
После рождения ребенка, ему уже на 2-5 сутки можно проводить исследование с помощью врача-неонатолога. Используется отоакустическая эмиссия, миниатюрный зонд-микрофон аккуратно вводится в слуховой проход ребенка. Желательно, чтобы это было в спокойном состоянии или во сне. Во время исследования ребенок должен лежать неподвижно, чтобы не исказить результаты скрининга.
Специалисты отмечают тот факт, что скрининг не должен проводиться только лишь детям с явными нарушениями слуха. По статистике, более чем у 50% новорожденных, не имеющих факторов риска, впоследствии могут проявиться симптомы тугоухости или ЗПР. Поэтому, аудиологический скрининг должен проводиться всем новорожденным без исключения.
Стоит отметить, что процедуру скрининга рекомендуется внедрить и в дошкольные учреждения для детей с задержкой психо-речевого развития. В детских садах для детей с нарушением речи около 30% детей имеют патологии слуха.
Группы риска по слуху
При прохождении аудиоскрининга врачи выделяют младенцев, входящих в группу риска. В нее входят груднички:
- у родителей которых есть нарушения слуха, так называемая «отягощенная наследственность»;
- матери которых во время беременности перенесли инфекционное или вирусное заболевание и в связи с этим проходили медикаментозное лечение;
- у мам которых в процессе вынашивания наблюдался токсикоз;
- недоношенные и переношенные;
- пережившие асфиксию при родах;
- с низкой массой тела при рождении (менее полутора килограмм);
- с гемолитической болезнью;
- с патологией развития отдела головного мозга, отвечающего за восприятие звуков и с отклонениями в работе слухового нерва.

Новорожденные из группы риска с первых дней своей жизни наблюдаются сурдологом. Аудиоскрининг позволяет конкретизировать особенности отклонений в функционировании органа слуха, подобрать наиболее оптимальную терапию и методики работы с врачом-сурдологом.
Тугоухость является не только медицинским, но и социальным заболеванием. Частичная или полная потеря слуха отрицательно сказывается на взрослении малыша, так как восприятие звуков является важным способом ориентации ребенка в пространстве и необходимым условием полноценного развития его речевого аппарата.
Специалисты благодаря отоакустическому тестированию получают возможность индивидуально подбирать для маленьких пациентов программы сурдологической коррекции.
Как провести скрининг?
Основным методом выявления критического ВПС является пульсоксиметрия .
Во время пульсоксиметрии оценивается степень насыщения крови кислородом в разных локусах — на правой руке ребёнка (SpO2 предуктальная) и его правой или левой ноге (SpO2 постдуктальная) . Измерение может быть проведено одновременно при помощи двух датчиков или поочерёдно при помощи одного датчика .
Во время пульсоксиметрии ребёнок должен находиться в спокойном состоянии. Руки и ноги малыша должны быть тёплыми. После наложения датчика следует проверить плотность его прилегания и дождаться появления стабильной непрерывной пульсовой кривой без артефактов на мониторе .
Пульсоксиметрия может дать ложный результат, если рядом имеется яркий источник света, неплотно прилегает датчик или конечности ребёнка холодные .
Скрининг одного или обоих супругов на носительство наиболее распространенных моногенных заболеваний
Этот скрининг можно смело предлагать всем парам. Почему? Все мы — носители хотя бы нескольких аутосомно-рецессивных моногенных заболеваний. Как правило, мы об этом не знаем, так как второй ген из парной хромосомы от другого родителя без поломок, и болезнь себя никак не проявляет. Если же супруги носители одного и того же заболевания, то риск рождения больного ребёнка составляет 25%.
В связи с этим некоторые банки донорских клеток тестируют всех своих доноров на носительство наиболее распространенных в популяции моногенных заболеваний. Очевидно, что скрининг тоже перестраховка, и что риск рождения больного ребёнка низкий (не выше 1 на 1000). Но если вдруг в результате проведения ЭКО с применением донорских клеток или у совершенно здоровой пары родится ребёнок с неизлечимым генетическим заболеванием с тяжелыми проявлениями, то последствия будут плачевны.
Если вы еще сомневаетесь, стоит ли вам проходить это тестирование, исключите хотя бы носительство СМА, спинальной мышечной атрофии! В основную панель включены также нейросенсорная тугоухость, муковисцидоз, фенилкетонурия, адреногенитальный синдром.
Минздравовский порядок организации проведения обследования новорожденных детей на наследственные заболевания
На федеральном уровне Положение об организации проведения массового обследования новорожденных детей на наследственные заболевания установлено Приказом Минздравсоцразвития РФ от 22.03.2006 № 185 (далее – Положение № 185).
Положение № 185 регулирует вопросы организации проведения в государственных и муниципальных учреждениях здравоохранения массового обследования новорожденных детей (далее – неонатальный скрининг) на наследственные заболевания (адреногенитальный синдром, галактоземию, врожденный гипотиреоз, муковисцидоз, фенилкетонурию).
Пунктом 2 Положения № 185 определено, что для проведения неонатального скрининга производится забор образцов крови специально подготовленным работником у новорожденных детей в государственных и муниципальных учреждениях здравоохранения, оказывающих медицинскую помощь женщинам в период родов.
Одновременно с этим, пунктом 15 Порядка оказания медицинской помощи по профилю «неонатология» (Приказ Минздрава России от 15.11.2012 № 921н) установлена норма о внесении данных неонатального скрининга в медицинскую документацию новорожденного.
При этом, Приказом Минздравсоцразвития РФ от 22.03.2006 № 185 установлены также и Рекомендации по забору образцов крови при проведении массового обследования новорожденных детей на наследственные заболевания, пунктом 2 которых определено, что в случае отсутствия в документации новорожденного ребенка отметки о заборе образца крови при его поступлении под наблюдение в детскую поликлинику по месту жительства или переводе по медицинским показаниям в больничное учреждение, забор образца крови для проведения исследования осуществляется специально подготовленным работником.
Пунктом 3 указанных Рекомендаций определено, что образец крови берут из пятки новорожденного ребенка через 3 часа после кормления на 4 день жизни у доношенного и на 7 день – у недоношенного ребенка, а также поэтапно описывается процесс забора крови.
Анализ результатов
Прибор показывает прошло ли ухо ребенка аудиоскрининг. Существует лишь 1 % случаев, когда устройство не может выявить тугоухость – это случаи, связанные с заболеваниями слухового нерва или мозгового центра, который отвечает за слух.
Соответственно, в случае, не если результаты теста отрицательны, говорят о наличии проблем со слухом. Однако, возможен и ложно отрицательный результат.
Даже в том случае, если тест дал отрицательный результат во второй раз, это не значит, что ребенок не слышит. Возможно, ошибка произошла дважды. Но после 2 отрицательных результатов ребенка обязательно направляют на обследование к специалисту.
Мама может отказаться от проведения скрининга новорожденному. Для этого достаточно написать заявление. Неприятностей от этого никаких не возникнет.
Проведение генетического скрининга ребенку особенно нужно, если в семье диагностировались случаи врожденных заболеваний, даже у дальних родственников. Часто бывает, что здоровые родители являются носителями бракованных генов, которые могут передать детям.
Скрининг делают новорожденному в первую неделю после рождения, в зависимости от обстоятельств. У доношенных детей забор крови на фильтровальный бланк осуществляется в роддоме на 3 сутки жизни, недоношенных — на 7. Раньше этого времени проводить тест не стоит, так как существует риск получения ложноотрицательного или ложноположительного результата.
Необходимость придерживаться раннего проведения исследования у новорожденных заключается в том, что некоторые серьезные наследственные патологии проявляются в первый месяц жизни и требуют лечения.
Также младенцам может быть проведен расширенный генетический скрининг методом ТМС, включающий диагностику большинства патологий. Его делают после возраста 3 месяцев. Кровь берут из пальца.
Медсестра обрабатывает пятку малыша ватой, смоченной в спиртовом растворе. Затем делает прокол глубиной 1-2 мм. Легкими надавливающими движениями начинает выдавливать кровь и наносить ее на специальный бумажный бланк. При чем она должна тщательно пропитать все 5 кружков, каждый из которых отвечает за конкретное заболевание.
Обработка анализа происходит в течение двух недель. Родителей уведомляют только в случае положительного результата. Но это не значит, что уже поставлен диагноз. Заключение дает только врач после дополнительного обследования. Иногда скрининг новорожденных показывает ложноположительный результат. Часто происходит это по причине нарушения техники взятия крови.
Чаще ложноположительный результат скрининга приходит на муковисцидоз. Но обычно при повторном прохождении теста он опровергается.
Они соединены в виде герметичного вкладыша-пробочки в ушко. Прибор вводят в наружный слуховой проход детей, когда они находятся в спокойном состоянии (не голодны и не плачут). Этот зонд присоединяется к прибору, регистрирующему ОАЭ. Врач старается, чтобы малыши были неподвижны и спокойны, в идеале, новорожденные должны спать. Слух исследуют в полной тишине.
Геморрой в 79% случаев убивает пациента
Важно, чтобы кроха не сосал пустышку. Это привносит дополнительные шумы и исказит исследование
Расширенный скрининг новорожденных на наследственные заболевания
Генетически обусловленных болезней современными врачами насчитывается около 500 – упомянутые в бесплатном неонатальном скрининге новорожденных выбраны как самые распространенные и поддающиеся раннему лечению. По необходимости методом тандемной масс-спектрометрии (ТМС) можно провести диагностику еще 36 наследственных заболеваний (в списке 37, поскольку присутствует фенилкетонурия, проверяемая в бесплатном комплексе). Среди них:
- недостаточность биотинидазы;
- лейциноз (болезнь с запахом кленового сиропа у мочи);
- метилмалоновая ацидемия;
- аргининемия (недостаточность аргиназы).
Большая часть заболеваний, проверяемая в расширенном скрининге новорожденных, основана на дефиците определенных элементов в организме, поскольку методика базируется на выявлении изменения концентрации метаболитов. По современному методу можно увидеть более 100 соединений в микроколичествах биоматериала. Схема проведения обследования аналогична классической, но расширенный скрининг платный, если без направления участкового, делается в частном медицинском учреждении. Стоимость процедуры – около 5000 р.

























































